When a 65-year-old South Korean woman went in for knee pain, doctors weren’t expecting to strike gold. But that’s exactly what they found.
Unwanted stomach issues
Living with osteoarthritis can be incredibly challenging. The condition gradually wears down the cartilage in your joints, leading to stiffness, swelling, and persistent pain that can make even simple daily tasks feel exhausting.
Activities that were once easy — like climbing stairs, bending to tie your shoes, or even walking short distances — can become painful and slow.
The woman in this story had been struggling with osteoarthritis and according to her, pain relievers and anti-inflammatory medications offered little relief and brought unwanted stomach issues.

So she turned to acupuncture, according to a case published in the New England Journal of Medicine.
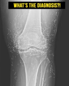
Acupuncture, a centuries-old alternative treatment, involves inserting needles into the body at specific points to relieve pain or treat illnesses. In this case, the needles— presumably made of gold — were intentionally left in her knees for continued stimulation.
But leaving needles in the body isn’t without risk.
“Foreign objects left inside the body can lead to inflammation, abscesses and infection,” said Dr. Ali Guermazi, a professor of radiology at Boston University who wasn’t involved in the case.
Foreign invaders
He also warned that embedded needles can complicate X-ray readings. “The needles may obscure some of the anatomy,” Guermazi said in 2013.
The body also doesn’t always take kindly to foreign invaders, and the reaction can fall under foreign body reaction or chronic inflammatory response.
“The human body wants to get rid of the foreign object,” Guermazi explained. “It starts with some mechanism of defense, for example inflammation and forming [fibrous tissue] around the object.”

Even more concerning, needles left in the body can make future medical imaging dangerous. “The patient can’t go into an MRI because needles left in the body may move, and damage an artery,” Guermazi added.
Evidence that acupuncture actually treats medical conditions is limited. Yet it remains a popular option for painful joints, especially in some Asian countries where inserting tiny pieces of sterile gold thread around a joint is a common arthritis treatment.
In the U.S., acupuncture is also widely used — an estimated 3.1 million adults and 150,000 children received the treatment in 2007, according to the U.S. National Institutes of Health’s National Center for Complementary and Alternative Medicine.
For this woman, her gold-laden knees are a stark reminder that sometimes, alternative medicine can leave more than just a mark — it can leave a literal treasure trove.
